Experiência

Residência em Cardiologia no Instituto Dante Pazzanese de Cardiologia - SP

Residência em Ecocardiografia transtorácica, transesofágica e de estresse por 2 anos no Instituto Dante Pazzanese de Cardiologia - SP

Graduação e Residência em Clínica Médica na Universidade Estadual de Maringá

Certificado de especialista em Clinica Médica, Cardiologia e Ecocardiografia pela Associação Médica Brasileira e Sociedade Brasileira de Cardiologia

Diretor técnico do Centro de Especialidades do Paraná - CISAMUSEP

Médico ecocardiografista dos Hospitais Universitários da UEM e Uningá

 




Dr. Juliano Cezar Picotti

CRM- PR 21261

Clínica Médica- RQE Nº: 14350 - Cardiologia - RQE Nº: 17039 - Ecocardiografia - RQE Nº: 17051

Atendimento Particular

Ecocardiograma
Eletrocardiograma
Doppler de carótidas

 


 



Cardiologia

Especialidade dedicada ao diagnóstico e tratamento das doenças do coração

 

 

 

 

 

 




 


Principais distúrbios cardiovasculares

Hipertensão arterial
Aumento do níveis da pressão arterial podem povocar anormalidades em órgãos como o coração, rins, olhos e os próprios vasos sanguíneos

Hipercolesterolemia
Aumento dos diferentes tipos de colesterol pode resultar no surgimento de placas que obstruem os vasos sanguíneos

Insuficiência cardíaca
Diminuição da função do coração que pode ser decorrente de várias causas

Doença coronariana
Obstrução das artérias coronárias que irrigam o coração predispondo ao infarto

Arritmias
Alteração do ritmo e/ou frequéncia dos batimentos cardíacos

Cardiopatias congênitas
Alterações da estrutura cardíaca que estão presentes desde o nascimento



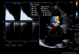
Ecocardiograma

O ecocardiograma é um exame médico não invasivo que utiliza ultrassom para criar imagens detalhadas do coração. Ele fornece informações sobre a estrutura, função e fluxo sanguíneo do coração, sendo essencial no diagnóstico e monitoramento de diversas condições cardíacas, como doenças das válvulas, insuficiência cardíaca e anomalias congênitas.

Durante um ecocardiograma, o paciente geralmente deita-se em uma mesa enquanto um técnico ou médico aplica um gel condutor na pele do peito. Em seguida, um transdutor de ultrassom é movido suavemente sobre a região do coração, emitindo ondas sonoras que são refletidas pelos tecidos do coração. Um computador converte essas ondas sonoras em imagens em tempo real, que mostram as câmaras, válvulas e estruturas do coração em detalhes.

 

 

..

 

 

Eletrocardiograma

O eletrocardiograma, também conhecido como ECG, é um exame simples e não invasivo que registra a atividade elétrica do coração. Ele é realizado colocando eletrodos na pele do paciente, que captam os sinais elétricos produzidos pelo coração durante cada batimento.

ECG é utilizado para diagnosticar problemas cardíacos, como arritmias, problemas de condução elétrica e ataques cardíacos, fornecendo informações importantes para o tratamento e manejo das condições cardíacas.

Doppler de Carótidas

O Doppler das artérias carótidas é um exame de ultrassom que avalia o fluxo sanguíneo nas artérias carótidas do pescoço. Ele é usado para detectar obstruções ou estenoses nessas artérias, que podem indicar um risco aumentado de acidente vascular cerebral (AVC) ou outras complicações cardiovasculares. O exame é realizado de forma não invasiva e fornece informações importantes sobre a saúde vascular do paciente, auxiliando no diagnóstico e tratamento de doenças arteriais.




 

 

 




Meu consultório

1
         
         
         
         
         
         

 

Contato

4 ...3 (44) 3346-9217 ...

Localização

1Av. Dr. Luiz Teixeira Mendes 1690 - Sala 206 - Zona 05 - Maringá - PR

Responsável Técnico

Dr. Juliano Cezar Picotti
CRM-PR - 21261

Acesso rápido

Experiência
Atuação
Meu consultório
Currículo
Política de privacidade